This case review features a patient of Esther Jeong, DDS, at Willow Family Dentistry in Wylie, TX. The development of the patient’s dental arches didn’t allow adequate space for her adult dentition to express fully, leading to a mix of Class II and Class III contacts, a trapped mandible, and a crossbite that caused her significant discomfort.
The patient wasn’t confident in her teeth and often smiled without showing her teeth. And when it came to chewing, she was constantly on edge because of how often her misaligned teeth caused her to bite her lip.
When this patient came to see Dr. Jeong, it was clear that orthodontic intervention was needed.

“I really didn’t want to deal with braces in school, but my teeth needed help. Dr. Jeong recommended CandidPro, and it changed everything.” – CandidPro patient
Dr. Jeong had treated orthodontic cases before, but this case was relatively complex for her office. To help dial in her treatment plan, she utilized our CandidConsult service, which connected her with Dr. Michael Kabot, one of our CandidPro Orthodontists.
With Dr. Kabot’s support, Dr. Jeong created an airway-friendly treatment plan that addressed the patient’s narrow arches and made space for their maxillary dentition. To her surprise, the treatment plan was only supposed to take seven months, and there were only two attachments.
“I thought we were going to need a lot more time to achieve a good result,” says Dr. Jeong. “But I trusted Dr. Kabot’s expertise, and he did a great job of explaining the staging.”
Dr. Jeong’s treatment plan included occlusal stops on stages 1 and 2 to open her bite and two attachments to facilitate vertical and rotational movements.

At the patient’s delivery appointment, Dr. Jeong and her team explained how to wear her aligners sequentially and demonstrated how to take scans using the ProMonitoring app. Dr. Jeong also bonded the two attachments to the patient’s teeth (#6 and #7).
Though teen patients often get a bad rap for being less than compliant with clear aligner therapy, this patient wore her aligners as prescribed and used the ProMonitoring app to submit her scans on time.
At aligner step 12, the ProMonitoring AI alerted Dr. Jeong of a noticeable unseat. She had the patient stay in that stage for an additional week to allow for the prescribed movement to express fully.

After that small delay, the case progressed as planned, and the patient completed her 16-aligner series just a few weeks later. She returned to Willow Family Dentistry satisfied with her results.
“I can’t believe how fast it worked,” says the patient. “I’m actually smiling with my teeth now, and I can eat without worrying about biting my lip. It’s a huge relief.”
Dr. Jeong recommended additional aligners to perfect the patient’s midline and encouraged her parents to consider myofunctional therapy to promote healthier nasal breathing. However, the patient declined further treatment. To ensure a lasting result, Dr. Jeong fitted her for PermaForm clear retainers.
“Her occlusion is vastly improved, they no longer have issues chewing, and they feel more confident in the look of their smile,” says Dr. Jeong.
At the end of the day, Dr. Jeong helped her patient achieve a significant improvement in her smile with CandidPro—from an aesthetic and clinical point of view.

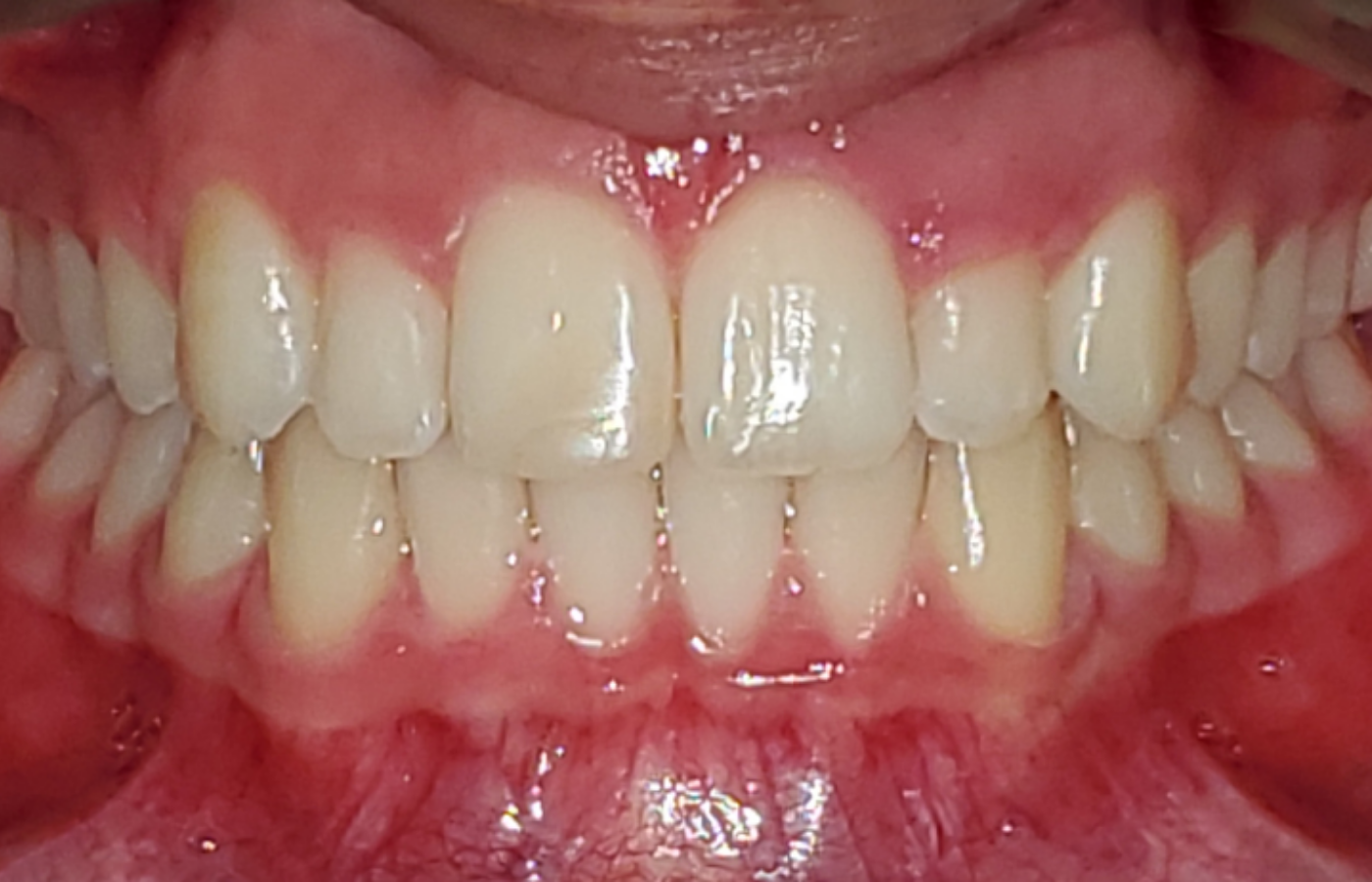
Over the course of 7 months, Dr. Jeong was able to expand this patient’s arch forms via dental tipping, close residual spacing from arch development, correct rotations and crowding, un-trap her mandibular arch via overbite correction, improve her overjet and midlines, improve her tongue positioning, and resolve her anterior crossbite.
Under the direction of Dr. Jeong, this patient is seeing improvements to her comfort and confidence—she’s also improved her long-term health. With a healthier occlusion, she faces a reduced risk of chipping, cracking, abfractions, and even hygiene-related concerns.
“Delivering life-changing outcomes to patients like this one is why I offer clear aligners,” says Dr. Jeong. “With CandidPro, I get great support from orthodontists like Dr. Kabot, the option to easily leverage airway-friendly mechanics, and I get more oversight with fewer visits using the ProMonitoring app.”
.png)




.png)



.png)
