
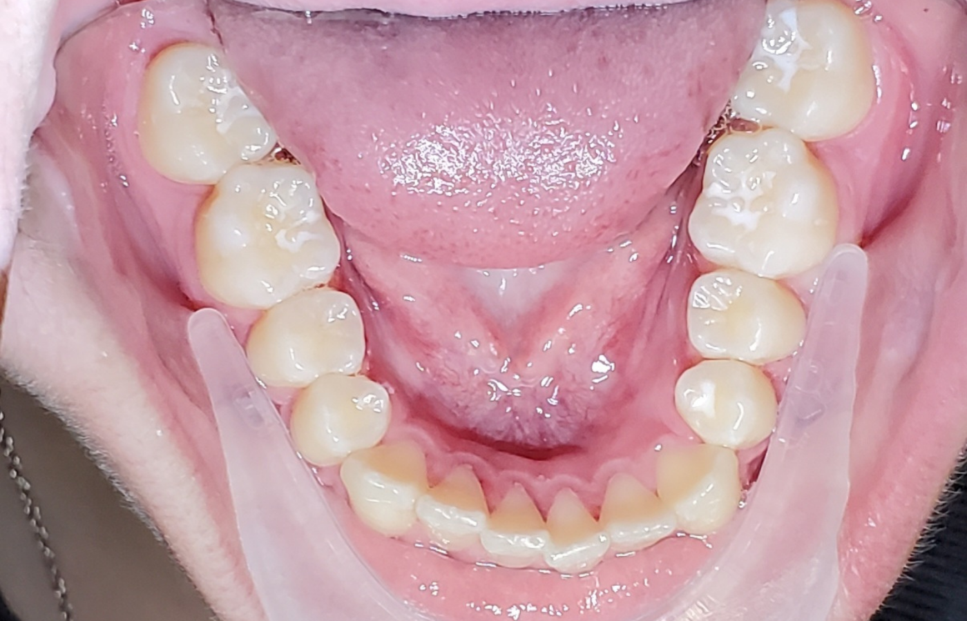
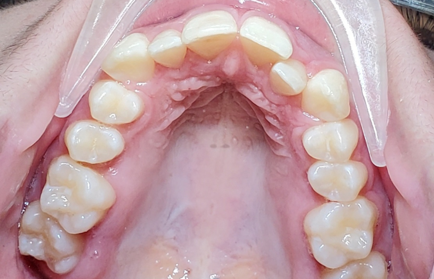
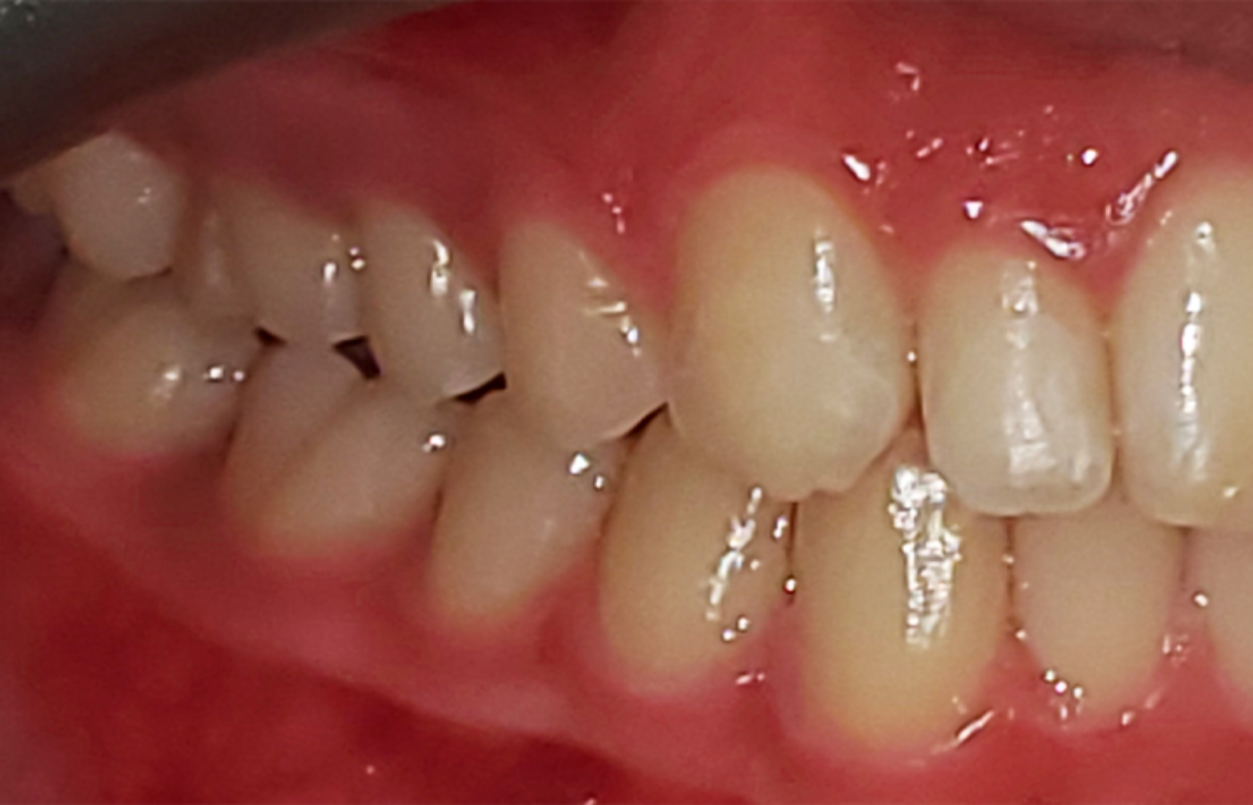
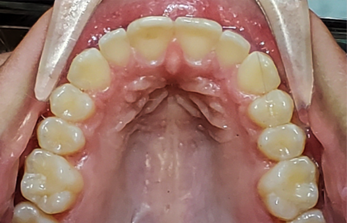
General dentists trust our protocols and precision-made aligners to treat most Class I, Class II, and Class III malocclusions with confidence. Our technology and clinical support help you deliver consistent, high-quality results across every patient case.
See more clinical resultsPredictable, efficient, profitable clear aligner therapy is transforming dental practices like yours.
Get a live demo of CandidPro
.png)