
Flexible, pay-by-tray pricing
Single arch support
Simplified feature set

Minor adjustments are easier than ever with our new limited aligner product: CandidPro Elements. Get the same high-quality aligners you expect from CandidPro with pay-per-tray pricing, single arch compatibility, and a simplified set of features for an efficient and profitable approach to simple cases.
Get our high-precision aligners while only paying for the trays you need.
Get the flexibility of single-arch treatment planning—perfect for relapse cases.
We’ve pared down CandidPro Elements to bring you our best pricing—add-on available.
Some patients may only need a few aligner trays to achieve your desired result. With pay-per-tray pricing from CandidPro Elements, you can predictably and efficiently treat case types like those below without paying for a full CandidPro Comprehensive case.

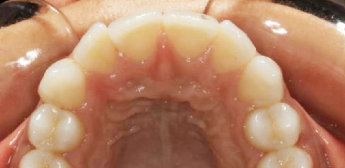
Simple crowding
Often caused by insufficient space in the dental arch, simple crowding cases may require slight rotation and up to 2 mm of movement per arch.

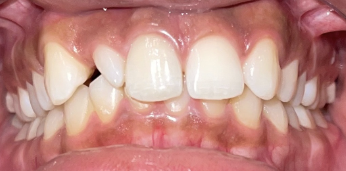
Minor orthodontic relapse
Caused by inconsistent retainer wear, soft tissue pressure, and aging, orthodontic relapse cases requiring up to 2 mm of movement per arch are ideal for CandidPro Elements.

Pre-restorative adjustments
Upright, derotate, adjust spacing, or smooth out the curve of Spee prior to installing crowns, implants, or veneers.


.png)

If you change your mind about forgoing orthodontist support or free refinements, you may upgrade from Elements to Comprehensive while reviewing your treatment plan at no additional cost.
If you’ve already accepted a treatment plan, you can upgrade a case to Comprehensive at a discounted rate for 365 days.